VI

A study of visual impairment through experimental, retrogenerative photography in response to clinical imaging and reflections on case studies.

With research assistance from Cardiff University Optometry Department, and patient interviews conducted at Sight Life Wales, I have endeavoured to present various forms of Visual Impairment to a sighted audience through the use of experimental photography. 

Each series of images represents and echoes specific forms of macular degeneration and visual impairment. CRT Bandwidth imagery speaks to colour blindness, ink tank photography evokes disease on a microscopic level and the projection of Braille conveys sight loss and mitigation in the mind’s eye.

VI maquette

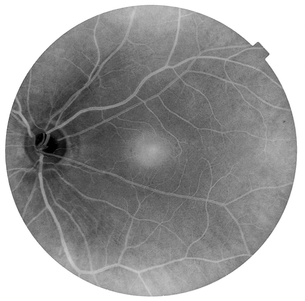
The presentation of the final body of work in book form draws on typography and visual formulas associated with Optometry, including the use of Snellen charts and Optical Coherence Tomography.

Drawing on the interviews and clinical images my intention was to create a representative journey through various forms of visual impairment that ends in full loss of vision. The abstract nature of the images draws on the scientific foundation of optometry, and the mechanics of the conditions when viewed through a distorted lens, enabling a sighted audience to comprehend what it is like to live with the conditions detailed in the text.

By deconstructing clinical optometry imaging through experimental photography, this work bridges the gap between scientific data and lived experience. The project transforms the sterile imagery of the clinic into an abstract visual journey, using the destruction of the photographic medium to represent the progressive erosion of sight.

I would like to extend my thanks to the Cardiff University Optometry Department and Sight Life Wales for their invaluable assistance in the creation of this work.